Das Schlüsselbein (die Clavicula) ist ein länglicher Knochen, der eine Verbindung zwischen der Schulter und dem Brustbereich herstellt. Genauer zieht das Schlüsselbein von der so genannten Schulterhöhe des Schulterblattes (Akromion) bis zum Brustbein. Das Schlüsselbein kann durch entsprechende starke Gewalteinwirkung brechen, Fachleute nennen dies eine Claviculafraktur.
Im Kindes- und Jugendalter kommt der Schlüsselbeinbruch relativ oft vor, doch auch allgemein handelt es sich um einen der häufigeren Knochenbrüche. Der Bruch lässt sich in der Regel gut und erfolgreich behandeln, und zwar mit einem so genannten Rucksackverband oder mit einer Operation. Welche Behandlungsform ausgeführt wird, hängt vom Befund ab. Unter anderem ist es ausschlaggebend, wie stark die Bruchteile auseinanderweichen.
Der Bruch des Schlüsselbeins (Claviculafraktur) geschieht in dem Fall, wenn eine zu große Krafteinwirkung auf den Bereich stattfindet. Das kann bei einem Sturz auf den Arm vorkommen. Ein entsprechend heftiges Fallen mit Aufstützen auf den Arm kann etwa bei einem Fahrradsturz ablaufen, ebenso wie beim Sturz vom Pferd, beim Skifahren, Inline-Skaten oder weiteren Sportarten. Durch die Wucht, die auf den Arm und die Schulter wirkt, bricht das Schlüsselbein.
Nicht so häufig prallt ein Objekt direkt auf das Schlüsselbein auf, so dass es bricht. Zu diesen Hergängen gehört ein harter Schlag auf den Knochen oder ein unmittelbarer Sturz auf die Schlüsselbeinregion. Zu erwähnen sind auch Unfälle von Motorradfahrern, deren Helm bei einem Unfall an das Schlüsselbein geraten kann und einen Bruch bedingen kann.
Ein weiterer Hergang der Claviculafraktur ist die Geburt. Das Kind muss bei der natürlichen Geburt bekanntlich durch den engen Geburtskanal gelangen. Hierbei kann ein Schlüsselbein leicht brechen, es wächst dafür aber normalerweise gut wieder zusammen.
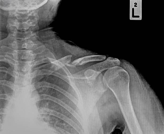
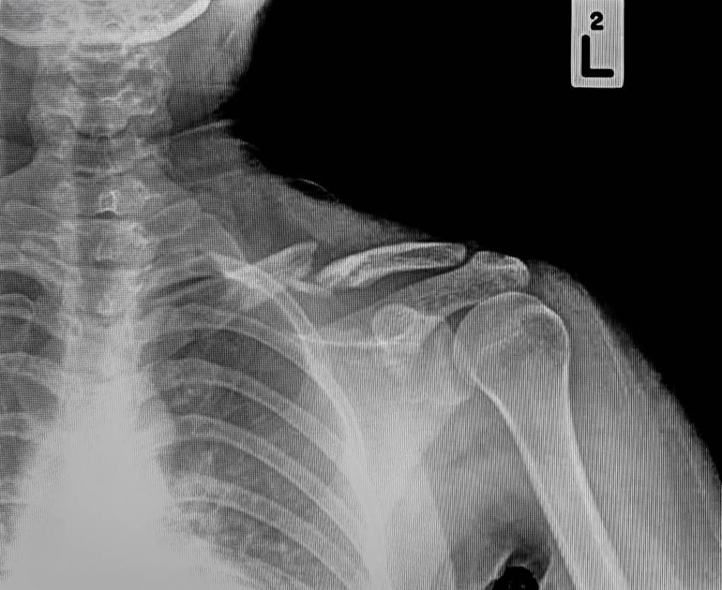
In der Mitte des Schlüsselbeins ist der Knochen schmaler als in anderen Bereichen. Daher geschieht die weit überwiegende Anzahl der Schlüsselbeinbrüche ungefähr in der Mitte des Knochens. Typisch ist es, dass der halsnahe Anteil des gebrochenen Schlüsselbeins von den Muskeln nach oben gezogen wird. Der seitliche Anteil des Schlüsselbeins steht normalerweise tief. Manchmal ist der Knochen in mehr als zwei Fragmente zerbrochen.
Nach dem jeweiligen Unfall bestehen im Bereich des Schlüsselbeins Schmerzen und eine Schwellung. Das Schlüsselbein liegt etwa zwischen dem vorderen unteren Halsbereich und dem höchsten Punkt der Schulter. Dort kann neben der Schwellung auch ein Bluterguss zu sehen sein. Bisweilen kann eine Verwerfung zwischen den beiden Bruchstücken ertastet werden, wenn die Bruchteile sich auseinander bewegt haben.
Wird auf den Knochen gedrückt, kommt es meist zu starken Schmerzen. Die von dem Schlüsselbeinbruch betroffene Seite kann an der Schulter nur noch unter äußersten Schmerzen bewegt werden. Der Knochen kann dann sogar an der Bruchstelle merklich knirschen. Der Arm wird vom Patienten in der Regel eng am Rumpf gehalten.
Unter Umständen kann es beim Schlüsselbeinbruch sogar zu einer Verletzung der Lunge mit möglichen Atemproblemen (etwa beim Pneumothorax = Zusammenfallen eines Lungenflügels) kommen.
Beim Schlüsselbeinbruch des Neugeborenen sind die Anzeichen meist geringer. Der Bruch beim Neugeborenen zeichnet sich auch durch eine sehr gute Prognose aus.
In einem Gespräch (Anamnese) des Arztes mit dem Patienten geht es zunächst um den Unfall und wie er abgelaufen ist, dann um die Beschwerden sowie um mögliche Vorerkrankungen. Die eigentliche ärztliche Untersuchung umfasst die Betrachtung und Abtastung des Befundes. Dabei wird nicht nur auf das Schlüsselbein, sondern auch auf Strukturen in der Umgebung (z. B. Schulter) geachtet, die mitverletzt sein können.
Auf dem Röntgenbild ist der Knochenbruch meist gut zu sehen. Im Zweifelsfall kann eine Computertomographie (CT) angefertigt werden. Eine Kernspintomographie (MRT, Magnetresonanztomographie) kann aufdecken, ob sich weitere Schäden an Gelenken oder Bändern ergeben haben.
Andere Verletzungen von benachbarten Strukturen sind neben der Claviculafraktur (Schlüsselbeinbruch) denkbar. Besonders zu erwähnen ist hier die Ausrenkung im Gelenk zwischen Schlüsselbein und Schulterblatt (Schultereckgelenk im so genannten Acromion). Reißen Gelenkkapsel und Bänder (Schultereckgelenksprengung), so steht das Schlüsselbein ab und kann an einen Knochenbruch denken lassen.
Die Behandlung des Knochenbruchs kann ohne oder mit Operation geschehen. Bei unkomplizierten Brüchen genügt meist eine konservative (nicht operative) Therapie mit speziellem Verband. Operiert wird bei Problemen wie einem stark auseinanderweichenden Bruch, einer Hauteröffnung, gleichzeitigen Nerven- oder Gefäßschäden oder einer so genannten Falschgelenkbildung (Pseudarthrose). Außerdem ist ein seitlicher (also nicht mittiger) Bruch des Schlüsselbeins ein Umstand, der eine Operation erforderlich machen kann.
Die konservative Behandlung (Behandlung ohne Operation) ist beim Schlüsselbeinbruch hauptsächlich die Versorgung mit einem Rucksackverband. Das ist eine Bandage, die wie die Riemen eines Rucksacks um beide Schultern gezogen wird. Weil vom Rücken aus ein Zug ausgeübt wird, werden die Schultern nach hinten straff gehalten. In dieser Stellung kann das Schlüsselbein ohne eine Verschiebung zusammenwachsen. Außerdem sind die Schmerzen in dieser Lage gering. Der Rucksackverband wird immer wieder nachgestrafft. Unter Umständen muss er auch einmal gelockert werden, wenn Gefäße oder Nerven zu sehr abgeklemmt werden. Bei Jugendlichen und Erwachsenen verbleibt der Verband wenigstens drei bis vier Wochen, bei Kindern kann er meist schon nach einer kürzeren Zeitspanne wieder abgenommen werden. Eine Röntgenaufnahme zeigt jeweils, ob der Verband noch benötigt wird oder nicht.
Eine Operation am Schlüsselbeinbruch wird häufig mit einem offenen (langen) Schnitt vorgenommen, kann zum Teil aber auch durch kleine Zugänge (minimal-invasiv) geschehen. Eine Vollnarkose ist für diesen Eingriff erforderlich. Die Knochenfragmente werden in die richtige Lage gebracht. Dann werden sie mit Fremdmaterial aneinander befestigt. Zur Versorgung kommen entweder Platten und Schrauben oder manchmal Drähte in Frage. Heutzutage ist es auch möglich, einen Längsnagel (Prevot-Nagel) in den Knochen zu schieben und somit die Bruchanteile zusammenzuhalten. Nach der Fixierung des Knochenbruches wird die Hautwunde vernäht. Die Schrauben, Platten, Nägel oder Drähte können nach längerer Zeit in einer Zweitoperation wieder entfernt werden, oft werden sie aber im Körper belassen.
Bei Operationen sind natürlich Komplikationen möglich wie Blutungen, Infektionen, Wundheilungsstörungen, Narben oder weiteren Schäden. Beim richtigen Anlass ist eine Operation gerechtfertigt, wenn das Risiko für einen schlechten Endzustand ohne Operation höher ist als mit einem Eingriff.
Bei komplikationslosem Verlauf und unauffälliger Wundheilung kann das Krankenhaus nach zwei bis drei Tagen wieder verlassen werden.
Die Heilungsdauer hängt vom Alter des Patienten, von der Art des Bruches und von der Art der Versorgung (mit oder ohne Operation) ab. Bei Säuglingen heilt ein Schlüsselbeinbruch ohne besondere therapeutische Maßnahmen innerhalb von zwei bis drei Wochen. Bei etwas älteren Kindern und Jugendlichen beträgt die Heilungsdauer vier bis sechs Wochen. Bei Erwachsenen heilt ein Schlüsselbeinbruch innerhalb von sechs bis acht Wochen. Dabei sind Brüche, die mit Metallimplantaten stabilisiert wurden, in den meisten Fällen früher wieder belastbar als nicht operativ versorgte Brüche. In beiden Fällen dauert die Knochenheilung aber sechs bis acht Wochen.
Die Dauer der Krankschreibung nach einem Schlüsselbeinbruch ist individuell unterschiedlich. Beim Erwachsenen dauert die Heilung eines Schlüsselbeinbruches ungefähr sechs bis acht Wochen. In dieser Zeit ist der Betroffene normalerweise krankgeschrieben. Körperlich wenig belastende Berufe wie Bürotätigkeiten können meist nach sechs Wochen wieder aufgenommen werden. Berufe mit stärkerer Belastung der Arme erfordern eine längere Krankschreibung von bis zu 12 Wochen und länger.
Es gibt keine gesetzlichen Vorgaben, die eindeutig regeln, ab wann nach einem Schlüsselbeinbruch wieder Auto gefahren werden darf. Der Betroffene sollte allerdings erst nach Rücksprache mit dem behandelnden Arzt wieder Auto fahren. Bei einer konservativen (nicht operativen) Versorgung des Bruches mit einem Rucksackverband ist die Beweglichkeit der Arme eingeschränkt. Außerdem darf der Arm bis zur Verknöcherung des Bruches nicht stark belastet werden. Eine vermehrte Belastung kann Schmerzen auslösen. Deshalb sollte erst wieder Auto gefahren werden, wenn eine ausreichende schmerzfreie Schultergelenksbeweglichkeit und Belastbarkeit gegeben ist. Beim Erwachsenen ist dies nach sechs bis acht Wochen der Fall. Wurde der Bruch mit Metallimplantaten stabilisiert, ist das Autofahren möglicherweise schon früher erlaubt. Allerdings sollte bedacht werden, dass eine scharfe Bremsung mit Druck des Sicherheitsgurtes auf das Schlüsselbein zu erneuten Verletzungen führen kann. Dies gilt vor allem, wenn der Bruch noch nicht ausgeheilt ist.
Wann Sport wieder möglich ist, hängt von der Sportart ab und davon, wie der Schlüsselbeinbruch versorgt wurde. Sportarten, die die Arme wenig belasten und bei denen kein Körperkontakt mit Gegenspielern stattfindet, können meist nach sechs Wochen wieder aufgenommen werden. Wurde der Bruch operativ stabilisiert, sind diese Sportarten manchmal auch schon früher wieder möglich. Kontaktsportarten und Sportarten, die die Arme und Schultergelenke stark beanspruchen, sind erst nach zwei bis vier Monaten erlaubt. Vor der Wiederaufnahme sportlicher Aktivitäten sollte eine Rücksprache mit dem behandelnden Arzt erfolgen.
Nach einem Bruch des Schlüsselbeins sollten Schlafpositionen vermieden werden, bei denen viel Druck oder Zug auf die Fraktur (den Bruch) kommt. Die Seitenlage auf der betroffenen Seite ist zunächst verboten. Das Liegen auf der gesunden Seite kann nachts ebenfalls unangenehm sein, wenn die betroffene Schulter nach vorne hängt. Als Schlafposition am besten geeignet ist die Rückenlage. Hierbei ist der Schultergürtel entlastet. Eine leichte Hochlagerung des Oberkörpers und/oder ein Kissen unter dem Arm der betroffenen Seite erleichtern das Liegen häufig noch zusätzlich. Bei einer konservativen Behandlung (ohne Operation) wird meist ein Rucksackverband oder ein Gilchrist-Verband verordnet. Betroffene sollten mit ihrem Arzt besprechen, ob dieser auch in der Nacht zu tragen ist. Durch den Verband kann es in bestimmten Liegepositionen zum Abklemmen von Nerven oder Gefäßen kommen. Dies ist bestmöglich zu vermeiden.
Der Schlüsselbeinbruch ist ein recht häufiger Knochenbruch und kann in den meisten Fällen erfolgreich behandelt werden. Das Resultat ist normalerweise eine problemlose Abheilung mit guter Beweglichkeit der Schulter. Selbst wenn die Fraktur in nicht ganz genauer Position zusammenheilt, ist die Funktion in der Regel nicht beeinträchtigt. Ein Erfolg kann trotzdem nicht in allen Fällen komplett gewährleistet werden. Bei einer konservativen (nicht operativen) Behandlung kann es dazu kommen, dass die Bruchstücke nicht richtig oder gar nicht miteinander verheilen. Ein so genanntes Falschgelenk (Pseudarthrose) kann entstehen und zu einer Instabilität führen. Dies kann eine Operation erforderlich machen.
Arcus Kliniken Pforzheim – Schlüsselbeinbruch OP – Einführung in die Anatomie und Funktion: https://www.sportklinik.de/operatives-spektrum/schulter-op/schluesselbeinbruch-op (online, letzter Abruf: 20.01.2023)
Barmherzige Brüder München – Schlüsselbeinbruch (Clavikulafraktur): https://www.barmherzige-muenchen.de/sektion-unfallchirurgie/unser-behandlungsangebot/obere-extremitaet/schluesselbeinbruch-claviculafraktur.html (online, letzter Abruf: 20.01.2023)
Nationwide Children`s – Clavicle Fracture: https://www.nationwidechildrens.org/conditions/clavicle-fracture (online, letzter Abruf: 20.01.2023)
Kinder- und Jugendärzte im Netz – Schlüsselbeinbruch: Ruhig halten und schonen: https://www.kinderaerzte-im-netz.de/news-archiv/meldung/article/schluesselbeinbruch-ruhig-halten-und-schonen/ (online, letzter Abruf: 20.01.2023)
Elbe Kliniken – Claviculafraktur (Schlüsselbeinbruch), Osteosynthese: https://www.elbekliniken.de/de/unfallchirurgie-behandlungsverfahren-claviculafraktur (online, letzter Abruf: 20.01.2023)
London Upper Limb Surgery – Clavicle-fracture: https://www.londonupperlimbsurgery.co.uk/clavicle-fracture (online, letzter Abruf: 20.01.2023)
FractureHealing – Sleeping with a Broken Collarbone: https://fracturehealing.ca/sleeping-with-a-broken-collarbone/ (online, letzter Abruf: 20.01.2023)
aktualisiert am 02.12.2022