Eine krankhafte Ansammlung von Flüssigkeit im Raum zwischen Lunge und Brustwand wird Pleuraerguss genannt. Häufigste Ursache ist eine Herzschwäche. Betroffene leiden unter Atemnot oder Schmerzen beim Atmen.
Die Pleurahöhle (auch Pleuraspalt) ist ein schmaler, spaltförmiger Raum zwischen Lungenoberfläche und innerer Brustwandauskleidung. Normalerweise sind nur wenige Milliliter Flüssigkeit in der Pleurahöhle, dadurch wird eine reibungslose Atmung ermöglicht. Kommt es zu einer vermehrten Flüssigkeitsansammlung in der Pleurahöhle, wird dies als Pleuraerguss bezeichnet. Auslöser der unnatürlichen Ansammlung von Flüssigkeit können Erkrankungen von Herz-Kreislauf- oder Nierensystem, Entzündungen oder auch bösartige Veränderungen sein. Ein Pleuaerguss kann ohne Symptome verlaufen. Häufig leiden Betroffene unter leichten bis starken Schmerzen und Atemnot.
Normalerweise besteht ein Gleichgewicht zwischen Flüssigkeitaufnahme und -abgabe im dünnen Pleuraspalt. Zu einer krankhaften Flüssigkeitsansammlung kommt es durch einen vermehrten Flüssigkeitsaustritt aus den Blutgefäßen. Ursachen können eine Stauung der Blutgefäße, eine krankhafte Zusammensetzung des Blutes, Tumorerkrankungen oder Entzündungen sein.
Der Erguss wird anhand der Zusammensetzung unterteilt in zwei mögliche Formen:
Die Art des Ergusses erlaubt Rückschlüsse auf die zugrundeliegende Ursache.
Transsudate, also eiweißarme Pleuraergüsse, entstehen durch Veränderungen des Drucks in den Gefäßen und damit verbunden einen vermehrten Flüssigkeitsaustritt:
Ursachen für einen eiweißreichen Pleuraerguss oder Exsudat führen zu einem vermehrten Durchtritt von Blutbestandteilen aus den Gefäßen. Dies wird verursacht durch:
Kleine Pleuraergüsse bis etwa 500 Milliliter verlaufen häufig unbemerkt. Bei größeren Ergüssen ist das Hauptsymptom Atemnot. Diese tritt zunächst bei körperlicher Anstrengung, später auch in Ruhe auf. Häufig kommt es zu Hustenreiz. Manchmal leiden Betroffene unter einem Engegefühl oder Schmerzen im Brustbereich.
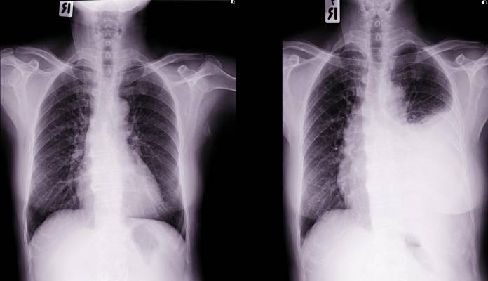
Im Patientengespräch erfragt der Arzt die Art der Beschwerden und die Dauer. In der klinischen Untersuchung wird er die Lunge abhören (Auskultation), bei einer Flüssigkeitansammlung ist das Atemgeräusch gedämpft. Außerdem wird er mittels Perkussion (Untersuchung durch Abklopfen der Körperoberfläche) auf einen gedämpften Klopfschall achten. Bei Verdacht auf einen Pleuraerguss kann dieser am einfachsten mittels Ultraschalluntersuchung nachgewiesen werden. Dies ist eine sehr sichere Methode, hier werden Flüssigkeitsansammlungen ab 10 bis 20 Milliliter erkannt. In Röntgenaufnahmen können Ergüsse über 250 Milliliter erkannt werden. Eine CT (Computertomographie) des Brustkorbs kann sehr kleine Flüssigkeitsmengen nachweisen.

Um die Ursache des Pleuraergusses herauszufinden, wird eine ultraschallkontrollierte Punktion (Einführen einer Nadel) und anschließende Untersuchung der entnommenen Flüssigkeit folgen:
Bei Verdacht auf einen Pleuraerguss werden bildgebende Verfahren angewendet, um das Vorhandensein von Flüssigkeit nachzuweisen. Ähnliche Beschwerden wie beim Pleuraerguss können folgende Erkrankungen verursachen:
Kann Flüssigkeit mit Ultraschall, Röntgenaufnahme oder Computertomographie nachgewiesen werden, folgt eine Punktion des Ergusses mit anschließender Untersuchung. Befunde der Ergüsse können Hinweise auf folgende Differenzialdiagnosen sein:
Große Ergüsse mit Atemnot werden zur Entlastung der Patienten zunächst abpunktiert (Pleurapunktion): Eine Hohlnadel wird eingeführt, um die Flüssigkeit herauszuziehen. Bei wiederkehrenden Ergüssen wird eine sogenannte Pleuradrainage angelegt. Dabei wird ein Schlauch durch den Zwischenrippenraum eingeführt und ein Sog angelegt, sodass die Flüssigkeit kontrolliert abläuft.
In schweren Fällen und bei bösartigen Erkrankungen kann eine Brustkorbspiegelung (Thorakoskopie) durchgeführt werden. Dies ermöglicht eine Entfernung der Flüssigkeit und gleichzeitig therapeutische Maßnahmen wie die Verklebung der Pleurawände, sodass sich keine Flüssigkeit mehr ansammeln kann.

Grundsätzlich folgt nach ersten erleichternden Maßnahmen eine Aufarbeitung und Behandlung der zugrundeliegenden Ursache.
Kleine Ergüsse verlaufen symptomlos und bedürfen keiner Behandlung. Bei großen Ergüssen sind die Heilungsaussichten abhängig von der zugrundeliegenden Ursache. Kann die Ursache ermittelt und gezielt behandelt werden, dann bildet sich normalerweise auch kein neuer Erguss mehr.
Hinweis: Grundsätzlich sollten Patienten, die unter Schmerzen und Atemnot leiden, einen Arzt aufsuchen.
aktualisiert am 28.04.2022