Prof. Walther: Der Begriff "Arthrose" bezeichnet einen schweren, irreversiblen Knorpelschaden in einem Gelenk. Der Knorpel wird dünner und es bilden sich Knochenkanten, welche die Beweglichkeit beeinträchtigen können. Teilweise bilden sich auch Zysten im Knochen und der Knorpel löst sich vollständig von der Knochenoberfläche ab.
Prof. Walther: Die häufigsten Ursachen für Arthrose im Sprunggelenk sind Knochenbrüche im Bereich des Sprunggelenks, sowie häufiges und schweres Umknicken. Weiterhin können entzündliche Gelenkerkrankung, wie z.B. Rheuma, das Sprunggelenk irreversibel schädigen.
Prof. Walther: Der Sport selbst ist kein nachgewiesener Risikofaktor für die Entstehung einer Arthrose, solange es nicht zu Verletzungen kommt. Allerdings sind Sportverletzungen am Sprunggelenk ein großes Problem. Diese müssen aus Sicht des Patienten nicht einmal dramatisch ablaufen. Oft führen bereits kleinere Unfälle, wie z.B. Umknicken, zu oberflächlichen Knorpelschäden, die dann über die Jahre in eine Arthrose übergehen. Besonders hoch ist das Risiko für die Entstehung einer Arthrose, wenn ein Sprunggelenk nach einem Umknicktrauma instabil bleibt. Das bedeutet, dass die Bänder nicht ausreichend stabil verheilen und im weiteren Verlauf bereits kleinste Unebenheiten zu einem erneuten Umknicken führen. Als Risikosportarten, die vor allem aufgrund der Bandverletzungen mit einem erhöhten Arthroserisiko vergesellschaftet sind, gelten insbesondere Tennis, Squash, Fußball, Basketball oder Trail-Running.
Allerdings sind Sportverletzungen am Sprunggelenk ein großes Problem.
Prof. Walther: Belastungsabhängige Schmerzen und Schwellungen sind klassische Symptome bei einer Sprunggelenkarthrose. Klassisch ist auch ein Schmerz am Morgen bei den ersten Schritten (sogenannte Anlaufschmerzen). In den frühen Stadien kann eine Arthrose aber durchaus beschwerdearm sein. Viele Patienten können Sportarten mit hohem Laufanteil (Fußball, Joggen, Tennis) nicht mehr ausführen, während Sportarten mit gleichmäßiger Belastung (Radfahren, Schwimmen, Rollerskates) weitgehend beschwerdefrei möglich sind. Die Beschwerden nehmen im Laufe der Jahre zu und das Sprunggelenk kann sich durch knöcherne Anbauten deformieren. Weiterhin verschlechtert sich die Beweglichkeit.
Prof. Walther: Die konservative Behandlung der Sprunggelenkarthrose umfasst zunächst eine ausführliche Sportberatung. Aktivitäten, welche das Sprunggelenk potenziell überlasten, sollten zugunsten sprunggelenkschonender Sportarten modifiziert werden. Die klassische Situation ist, dass Jogger zu Radfahrern werden. Weiterhin ist es möglich, durch orthopädieschuhtechnische Maßnahmen das Sprunggelenk zu entlasten. Ist das Sprunggelenk instabil, helfen Bandagen und Orthesen die Stabilität von außen zu verbessern. Ist die Beweglichkeit eingeschränkt, kann durch eine Abrollhilfe die Abrollbewegung vom Sprunggelenk auf die Schuhsohle verlagert werden. Ist das Auftreten besonders schmerzhaft, können Pufferabsätze oder Schuhe mit weicher Sohle die Schmerzen reduzieren. Weiterhin spielt die Injektion von Hyaluronsäure oder PRP (Eigenblut) eine wichtige Rolle. Beide Substanzen wirken entzündungshemmend, verbessern die Gleitfähigkeit der Knorpeloberfläche und können den Stoffwechsel der noch vorhandenen Knorpelzellen verbessern.
Möglich ist auch eine reine Schmerztherapie. Leider haben die nichtsteroidalen Antiphlogistika wie z.B. Ibuprofen oder Diclofenac den Nachteil, dass sie bei täglicher Einnahme über einen längeren Zeitraum die Niere schädigen und auch Magengeschwüre begünstigen. Solange die Einnahme nur gelegentlich erfolgt, ist die Einnahme von Schmerzmitteln aber eine durchaus adäquate Methode mit der Arthrose umzugehen. Leider gibt es bisher keine Möglichkeit, durch Medikamente den Knorpel nachwachsen zu lassen.
Ein großes Feld sind die „Chondroprotektiva“, die im Internet zuhauf vor allem als Nahrungsergänzungsmittel verkauf werden. Die Wissenschaft hinter diesen Präparaten ist dünn, weshalb sie auch nicht das Kriterium eines Arzneimittels erfüllen. Wir sehen aber auch immer wieder Patienten, die über eine gute Wirkung berichten. Aus meiner Sicht spricht nichts dagegen, hier ein paar Präparate auszuprobieren. Wenn es wirkt, ist es natürlich schön, verspürt man keine Wirkung, kann man aber mit gutem Gewissen das Experiment wieder beenden.
Aktivitäten, welche das Sprunggelenk potenziell überlasten, sollten zugunsten sprunggelenkschonender Sportarten modifiziert werden.
Prof. Walther: Verschiedene Untersuchungen haben gezeigt, dass aktive Menschen, die sich regelmäßig bewegen trotz Arthrose, im Leben deutlich besser zurechtkommen als Couchpotatos. Die gleichmäßige Bewegung des Sprunggelenks fördert den Stoffwechsel. Auch hier sind wieder Aktivitäten wie Radsport oder Crosstrainer vorteilhaft. Übungen helfen trotz Arthrose weniger Beschwerden zu haben. Übungen, auch mit dem Physiotherapeuten, können die Arthrose nicht rückgängig machen oder den Verlauf der Erkrankung aufhalten. Trotz aller unterstützenden Maßnahmen nimmt die Arthrose weiterhin ihren klassischen Verlauf, indem sie sich über die Jahre weiter verschlechtert und die Beschwerden zunehmen.
Prof. Walther: Die Indikation zur Operation sehen wir immer dann, wenn die unterstützenden konservativen Maßnahmen zu keiner ausreichenden Beschwerdelinderung mehr führen. Die Beschwerden des Patienten sind ein wesentlich wichtigeres Kriterium als das Röntgen- oder MRT-Bild.
Prof. Walther: Die neuste Generation der Sprunggelenk-Endoprothesen führt zu besseren Resultaten als die Sprunggelenkversteifung. Das war nicht immer der Fall. Über viele Jahre galten Sprunggelenkprothesen als kritische Implantate mit hohen Versagensquoten. Durch eine deutlich präzisere Implantation und die Einbeziehung der gesamten Gelenkmechanik in die OP-Planung haben sich die Ergebnisse aber in den letzten 10 Jahren dramatisch verbessert. Wichtig ist die Wiederherstellung der Gelenkstabilität und der Rückfußachse im Rahmen der OP. Ist dies nicht möglich, ist die Versteifung des Sprunggelenks die zuverlässigere Lösung. Auch nach Infektionen, bei Lähmungen oder bei einem Diabetischen Fußsyndrom sind Sprunggelenkprothesen kontraindiziert.
Die neuste Generation der Sprunggelenk-Endoprothesen führt zu besseren Resultaten als die Sprunggelenkversteifung.
Prof. Walther: Der Vorteil einer Gelenkversteifung ist, dass eine sehr stabile Situation erreicht wird, die weder von der Bandstabilität noch von der Muskelfunktion abhängig ist. Ist eine Gelenkversteifung erst einmal verheilt, kann von einer dauerhaften und stabilen Situation ausgegangen werden. Auch Schrauben und Platten können in den meisten Fällen belassen werden. Allerdings ist der Verlust der Beweglichkeit im Sprunggelenk für viele Patienten eine spürbare Einschränkung.
Die Lebensqualität von Patienten nach der Implantation einer Sprunggelenkprothese ist nachweislich höher als nach einer Gelenkversteifung. Wird ein Sprunggelenk versteift, müssen die angrenzenden Gelenke die Sprunggelenkfunktion übernehmen. Dies führt zu einer erhöhten Rate von Arthrose in diesen Gelenken. Nachdem Menschen heute bis ins hohe Alter sehr aktiv sind, sind diese „Anschlussarthrosen“ deutlich relevanter als noch vor 20-30 Jahren.
Ein weiterer wichtiger Aspekt für die Planung der Therapie ist, dass inzwischen gute Konzepte zum Wechsel einer Sprunggelenkprothese zur Verfügung stehen. Lockert sich ein Implantat, bedeutet dies nicht mehr wie früher, dass eine Gelenkversteifung die einzige Behandlungsoption darstellt. In vielen Fällen kann heute eine Sprunggelenkorthese gewechselt werden wie auch eine Hüft- oder Knieprothese.
Prof. Walther: Der Krankenhausaufenthalt nach der Implantation einer Sprunggelenk-Endoprothese dauert 4-7 Tage in Abhängigkeit von Wundheilung, Schwellung und möglichen Begleiteingriffen wie Achskorrektur oder Bandstabilisierung. Die eigentliche Operation dauert zwischen 90 und 120 Minuten, bei Zusatzeingriffen auch länger. Während der ersten 2 Wochen nach der Operation steht die Wundheilung im Vordergrund. Das Sprunggelenk wird in einem Gips oder in einem Kunststoffstiefel stabilisiert, der Fuß kann aber bereits leicht belastet werden. Nach Abschluss der Wundheilung und Fadenentfernung darf die Belastung stufenweise gesteigert werden. Viele Patienten gehen nach ca. 6 Wochen in eine stationäre Rehabilitation. Dort werden die Aktivitäten des täglichen Lebens trainiert. Dies ist vor allem wichtig für Patienten, die über viele Jahre keine normale Sprunggelenkfunktion hatten. Nach Rückkehr aus der Reha ist in den meisten Fällen eine Rückkehr an den Arbeitsplatz möglich, wobei dies im Einzelfall immer stark von der Belastung am Arbeitsplatz abhängt (Verwaltungsangestellte versus Feuerwehrmann).
Prof. Walther: Bei kleineren Knorpelschäden kommen heute regelmäßig Knorpel rekonstruktive Verfahren zur Anwendung, wie z.B. der Einsatz von Kollagenmembranen (z.B. AMIC™). Auch wenn sich mit diesem Verfahren keine Situation wie vor dem Gelenkschaden erreichen lässt, können größere Operationen wie die Implantation einer Sprunggelenkprothese oder eine Gelenkversteifung in der überwiegenden Anzahl der Fälle erst einmal vermieden werden. Diese Verfahren liefern bei begrenzten Knorpeldefekten gute Ergebnisse. Eine Arthrose, die das gesamte Gelenk betrifft, lässt sich damit aber nicht behandeln.
Besteht eine Fehlstellung im Sprunggelenk, sodass sich die Knorpelschäden vor allem auf die Innen- oder die Außenseite des Gelenks konzentrieren, kann in Einzelfällen durch eine Umstellungsosteotomie eine Beschwerdereduktion erreicht werden. Ziel dieses Eingriffs ist es, die Belastung von den erkrankten Gelenkanteilen auf die noch intakten Gelenkanteile zu verlagern. Voraussetzung ist, dass noch ein größerer Anteil im Gelenk eine gute Knorpelqualität aufweist.
Bei der Sprunggelenk-Endoprothetik hat sich in den letzten Jahren sowohl die Implantat-Qualität als auch die Präzision der Implantation deutlich verbessert. Eine bessere präoperative Planung, bessere Instrumente oder seit neuestem auch Patientenspezifische Instrumente (sogenannte PSI) erlauben es, das Implantat mit einer bisher nicht dagewesenen Genauigkeit einzusetzen. Bei den Patientenspezifischen Instrumenten wird auf Basis von CT-Bildern die OP-Planung im Vorfeld des Eingriffs am Computer durchgeführt (Abb. 1).

Auf Basis der Planung werden dann passgenaue Sägeschablonen produziert, die wie ein Puzzleteil exakt auf den Knochen des Patienten passen und damit die Position des Implantats entsprechend der präoperativen Planung vorgeben (Abb. 2).

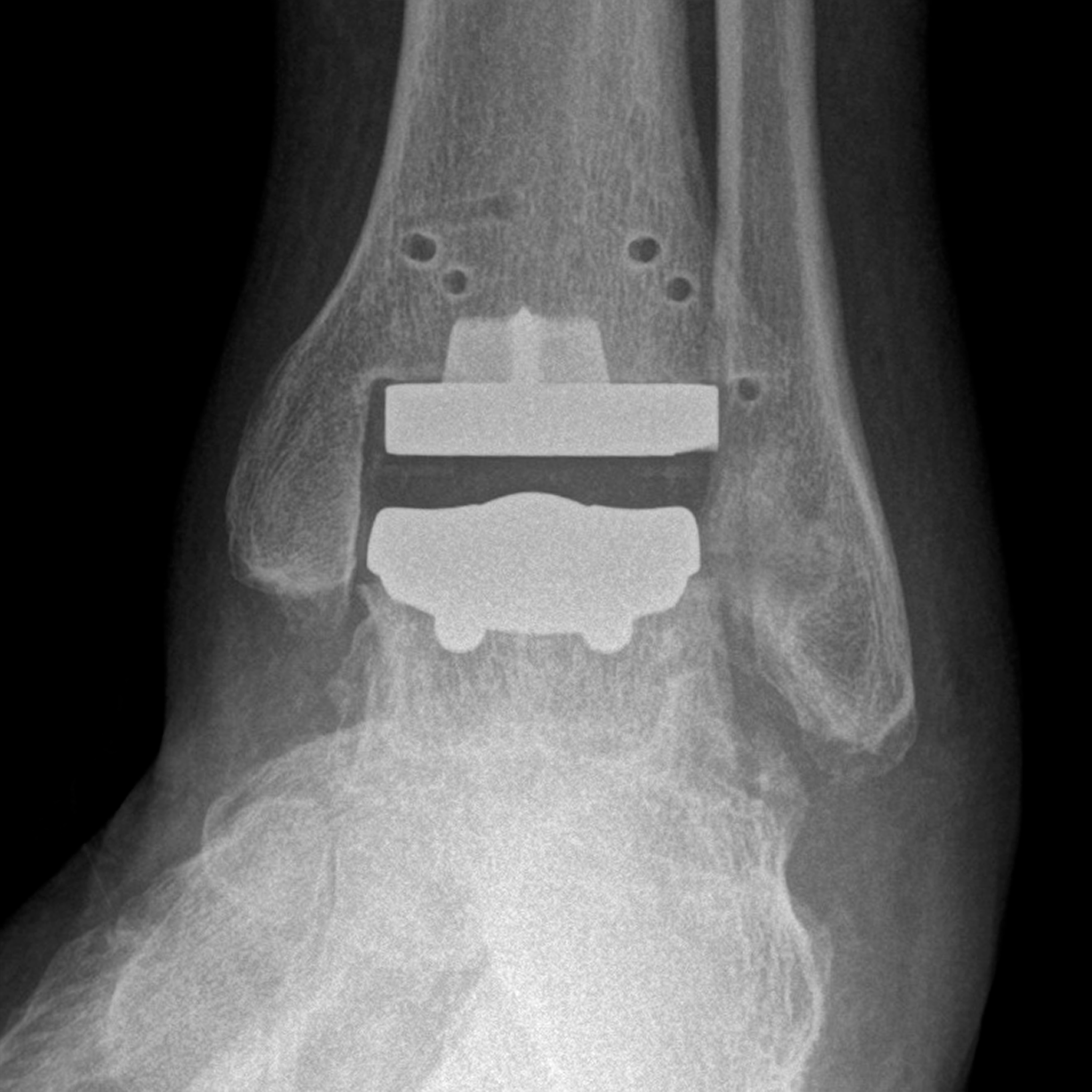
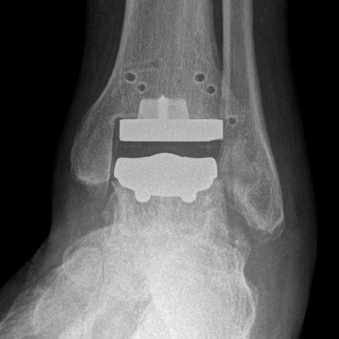
Neben der Genauigkeit ist die verkürzte Operationszeit ein weiterer Vorteil des Verfahrens. Die Röntgenbilder nach (Abb. 3 und 4) zeigen eine solche Situation wenige Tage einer Prothesenimplantation am Sprunggelenk.
![]() | ![]() |
Prof. Walther: Bewegen – und sich dabei möglichst nicht verletzen - das ist für die Gesundheit der Sprunggelenke die wichtigste Empfehlung. Weiterhin ist eine gute muskuläre Stabilität des Sprunggelenks die beste Prophylaxe gegen das Umknicken. Eine gute Übung ist Zähneputzen während man nur auf einem Bein steht. Man stellt sich also während des Zähneputzens für eine Minute auf den rechten Fuß, die zweite Minute auf den linken Fuß. Der andere Fuß wird dabei vollständig vom Boden abgehoben. Die Unruhe, die das Putzen der Zähne in den Körper bringt, macht diese Übungen zu einer echten Herausforderung. Alle diejenigen, die diese Übung spielend bewältigen, können sich auf den Vorfuß stellen oder eine dicke Gymnastikmatte unterlegen. Dann für jeweils 1 Minute die Balance zu halten ist richtig schwierig.
Weitere gute Übungen finden sich auf www.my-medibook.de – einer von Physiotherapeuten entwickelten Seite mit kostenlosen Video-Anleitungen für alle, die selbst aktiv sein möchten.
Danke für das Interview!
Letzte Aktualisierung am 23.04.2024.