Der Unterschenkel eines Menschen besteht aus zwei Knochen, dem Schienbein und dem Wadenbein. Das Schienbein trägt einen Großteil des Körpergewichtes und ist somit auch dicker als das Wadenbein, weshalb eine Fraktur (Knochenbruch) des Schienbeinknochens erhebliche Beschwerden mit sich bringt. Im Gegensatz zu einer Prellung des Schienbeins braucht eine Fraktur bedeutend länger, bis sie wieder verheilt ist.
Je dicker der Knochen, desto stabiler ist er. Auch das Schienbein zählt zu den stabilen Knochen, die einen Großteil des Körpergewichtes tragen. Der Knochen ist robust und es erfordert große Krafteinwirkungen, bis es zu einer Fraktur kommt. Das Schienbein ist so positioniert, dass es direkt unter der Haut zu spüren ist. Kommt es zu großer Gewalteinwirkung auf das Schienbein, wird diese nicht durch Fettgewebe abgefedert. Nicht selten kommt es bei Unfällen im Verkehr, beim Sport oder bei massiver Einwirkung von Gewalt auf den Knochen dazu, dass das Schienbein bricht. Es wird unterschieden, ob sich die Fraktur am Schienbeinkopf, am Schaft oder dem Knöchel befindet. Auch bestimmte Krankheiten, wie Tumore, Osteoporose oder vorangegangene Brüche können die Beschaffenheit der Knochen verändern und eine Fraktur am Schienbein begünstigen.
Eine Schienbeinprellung entsteht ebenfalls aufgrund einer Gewalteinwirkung auf das Schienbein. Damit es zu Symptomen kommt, reicht gewöhnlicherweise eine geringere Einwirkung aus. In vielen Fällen muss durch ärztliche Untersuchungen unterschieden werden, ob es lediglich zu einer Prellung oder aber zu einem Knochenbruch am Schienbein gekommen ist.
Je nachdem, an welchem Bereich des Knochens der Schienbeinbruch auftritt, äußert sich die Fraktur durch verschiedene Symptome. Generell lässt sich aber sagen, dass ein Schienbeinbruch starke Schmerzen und Schwellungen verursacht. Schmerzen und Schwellungen entstehen auch bei einer Prellung. Oftmals ist nach einem Schienbeinbruch jedoch das Stehen auf dem gebrochenen Bein nicht mehr möglich, in anderen Fällen kommt es zu einem unsicheren Stand. Neben der Schwellung tritt ein Bluterguss häufig auf, zudem kann sich der Unterschenkel verformen, wenn der Bruch am oberen oder unteren Ende des Beines liegt. Bei schweren Brüchen kann sich das Bein verdrehen oder verbiegen.
Da sich das Schienbein direkt unter der Haut befindet, kann es bei einer Fraktur zu einem offenen Bruch kommen. Das bedeutet, dass die Bruchstücke durch die Haut treten und es damit zu Blutungen kommt. Neben der eigentlichen Fraktur ist oftmals das umliegende Gewebe mitsamt den Nerven beschädigt. Das führt zu Sensibilitätsstörungen oder auch zu einer teilweisen Lähmung. Der Unterschenkel besteht zudem aus Bändern, Muskeln und Sehnen. Diese können im Zuge des Unfalles reißen und erhebliche Beschwerden mit sich bringen. Befindet sich die Fraktur am Schienbeinkopf, ist oftmals das Kniegelenk verletzt, während beim Bruch des Knöchels gleichzeitig auch das Sprunggelenk betroffen ist.
Viele Symptome, die auftreten, können sowohl ein Zeichen für eine Schienbeinprellung oder ein Schienbeinbruch sein. Dazu gehören Schmerzen, Schwellung und Bluterguss. Es gibt aber einige eindeutige und offensichtlich Anzeichen für einen Schienbeinbruch:
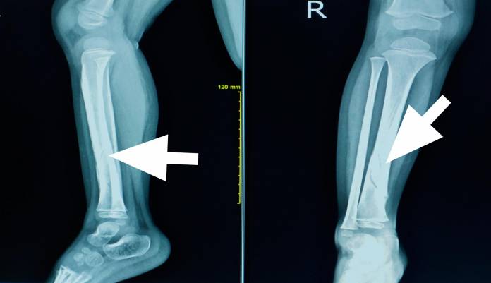
Liegen keine eindeutigen Anzeichen vor, werden weitere Untersuchungen eingeleitet, um die Diagnose zu sichern. Der Arzt wird zunächst den Unfallhergang in Erfahrung bringen und nach einer vorsichtigen Untersuchung des Unterschenkels eine Röntgenaufnahme anordnen. Dieses bildgebende Verfahren zeigt den Knochen und damit einhergehende Frakturen oder Risse sowie Splitterungen.

Mithilfe von Kontrastmittel ist es möglich, im Zuge der Röntgenuntersuchungen Gefäßbeschädigungen festzustellen. Hier kommt aber meist eine Ultraschalluntersuchung zum Einsatz. Auch mithilfe der Computertomographie, auch CT genannt, oder der Kernspintomographie (MRT) lässt sich eine Schienbeinfraktur deutlich erkennen.
Im Gegensatz zum Schienbeinbruch ist eine Prellung am Schienbein nicht ganz so dramatisch, und doch gehört sie zu den häufigsten Sportverletzungen. Auch im alltäglichen Leben kann es immer wieder zu Prellungen am Schienbein kommen. Eine Prellung am Schienbein bedeutet, dass weiches Gewebe im Bereich des Unterschenkels gegen harte Strukturen, wie etwa den Schienbeinknochen, gedrückt und dabei gequetscht werden. Das kann bei einem Sturz, Schlag oder auch einem Tritt geschehen. Kommt es zu solch einem Aufprall, tritt Flüssigkeit aus den Blutgefäßen oder den Lymphgefäßen aus. Diese verteilt sich im umliegenden Gewebe, was eine Schwellung und Blutergüsse mit sich bringt. Man spricht hier auch von einer Prellung des Knochens.
Prellungen am Schienbein kommen häufig vor, da der Schienbeinknochen nicht von einem dicken Fettgewebe umgeben ist. Die Hautschicht, die über den Knochen spannt, ist sehr schmerzempfindlich. Eine Prellung am Schienbein kann zudem eine Delle verursachen. Wie auch beim Schienbeinbruch kommt es direkt nach dem Stoß auf den Knochen zu starken Schmerzen. Diese lassen nach kurzer Zeit wieder nach. Eine Prellung am Schienbein ist nicht immer sofort zu erkennen, besonders, wenn es nicht zu Schwellungen durch Lymphflüssigkeit oder Blut kommt.
Schienbeinprellungen brauchen keine besondere Behandlung. Direkt nach der Prellung kann die PECH-Regel angewendet werden:
Mit diesen Maßnahmen vor allem darauf abgezielt, die Schmerzsymtome zu lindern. Kalte Umschläge oder Kühlakkus wirken sich positiv auf den Rückgang der Schwellung aus. Auch Blutergüsse, die im Zuge einer Schienbeinprellung entstanden sind, bilden sich nach wenigen Tagen zurück. Bei langanhaltenden Schmerzen oder Blutergüssen, die länger als zwei Wochen zu spüren sind, sollte ein Arzt aufgesucht werden, da hier eventuell auch eine leichte Fraktur des Schienbeines vorliegen kann.
Ein Schienbeinbruch ist im Gegensatz zu der Prellung bedeutend schmerzvoller. Es gibt verschiedene Arten von Frakturen am Schienbein, nach denen sich die Art der Therapie richtet. Generell lässt sich zwischen operativen und nicht operativen Behandlungen unterscheiden. Auch das Alter und die gesundheitliche Vorgeschichte haben Einfluss auf die Behandlugnsmethode. Generell werden einfache Brüche durch Ruhigstellung des Beines behandelt. Hier wird auf einen Gips zurückgegriffen. Diese konservative Therapie kann jedoch nur angewandt werden, wenn die Frakturen glatt verlaufen und die Bruchstücke der Knochen sich noch in der richtigen Lage befinden. Der daraufhin angelegte Gipsverband reicht oftmals bis zum Oberschenkel, um eine vollkommene Ruhigstellung des Beines zu gewährleisten. Hier greift man vorerst auf einen Liegegips zurück, der dann gegen einen Gehgips ausgetauscht wird. Die konservative Behandlung bringt außer einem erhöhten Thromboserisiko durch die lange Liegezeit keine Risiken mit sich. Dem wird mit Thrombosespritzen entgegen gewirkt.
aktualisiert am 31.10.2019