Der Schienbeinbruch (Tibiafraktur) ist einer der möglichen Knochenbrüche am Unterschenkel. Der Unterschenkel besteht aus zwei Knochen, dem Schienbein (Tibia) und dem annähernd parallel dazu laufenden Wadenbein (Fibula). Dabei ist das Schienbein in den meisten Bereichen dicker als das Wadenbein und trägt auch einen Großteil des Gewichtes. Ein Bruch des Schienbeins ist daher auch bedeutsamer als ein Bruch des Wadenbeins. Das Schienbein fällt als der Knochen am Unterschenkel auf, dessen Vorderrand unter der Haut tastbar ist. Es bildet mit seinem verdickten Anfang, dem Schienbeinkopf, einen Teil des Kniegelenks und mit dem Innenknöchel einen Teil des Sprunggelenks.
Unterschenkelbrüche entstehen allgemein meist durch Einwirkungen von Gewalt wie beispielsweise bei Verkehrsunfällen oder beim Sport. Schienbeinbrüche können verschiedene Formen annehmen, es kann sich um einen Schienbeinkopfbruch (Tibiakopffraktur), einen Schaftbruch (Tibiaschaftfraktur) oder einen Innenknöchelbruch (distale Tibiafraktur) handeln. Oftmals ist das Wadenbein ebenfalls gebrochen (Fibulafraktur).
Für den Schienbeinbruch gilt wie bei vielen anderen Knochen auch, dass meist eine heftige Gewalt verantwortlich ist. Nur sehr selten handelt es sich um einen Bruch aufgrund einer Vorbelastung, so dass der Knochen dann bei einem geringen äußeren Einfluss bricht. Der Knochen ist auf diese Weise anfällig wie bei längerer Überbeanspruchung (es entsteht ein Ermüdungsbruch), aber auch bei Krankheiten wie Osteoporose oder Tumorerkrankungen (es entsteht eine so genannte pathologische Fraktur).
Zu einem Schienbeinbruch kann es also kommen:
In den meisten Fällen handelt es sich um Unfälle, die Schienbeinbrüche verursachen. Sie können im Verkehr passieren, oftmals bei einem direkten Anprall, wenn Fußgänger angefahren werden und die Stoßstange des Autos auf den Unterschenkel trifft. Auch ein Unfall mit dem Motorrad kann eine Schienbeinverletzung zur Folge haben.
Nicht selten handelt es sich beim Schienbeinbruch auch um eine Sportverletzung. Ein Schaftbruch des Knochens kann bei einem heftigen Verdrehen des Beines auftreten. Als Beispiel für eine spezielle Sportverletzung kann die Skischuhrand-Fraktur aufgeführt werden, bei der das Schienbein bei einem Unfall knapp oberhalb des stabilen Skischuhs bricht. Außerdem kann bei Stürzen im Haushalt eine Schienbeinfraktur auftreten.
Der Schienbeinkopf kann von einem Bruch betroffen sein, wenn eine Person aus größerer Höhe herunterstürzt und auf das gestreckte Bein fällt. Der Schienbeinkopfbruch ist genauso möglich beim Auftreffen des gebeugten Knies mit Verdrehung.
Eine Schienbeinfraktur im Bereich des Sprunggelenks entsteht ebenfalls häufig dann, wenn die Person tief fällt und mit dem Fuß zuerst aufkommt. Möglich ist auch, dass diese Fraktur bei einer heftigen Quetschungsverletzung entsteht.
Der Schienbeinbruch kann prinzipiell an drei verschiedenen Bereichen des Knochens auftreten. Grob lassen sich unterscheiden:
Der Schienbeinbruch führt im Allgemeinen zu starken Schmerzen und zu einer Schwellung im Bruchbereich, oft auch zu einem Bluterguss. Die Bewegungen sind meist eingeschränkt, eine Belastung des Beines ist kaum noch möglich. Bei einem Bruch, dessen Enden verschoben sind (dislozierte Fraktur), zeigt sich eine Verformung des Unterschenkels. Er kann dann verbogen, verkürzt oder verdreht sein.
Das Schienbein liegt direkt unter der Haut des Unterschenkels. Deshalb findet sich bei einer Fraktur des Schienbeins sehr oft ein offener Bruch, was bedeutet, dass die Bruchstück-Enden durch die Haut treten.
Bei der Knochenverletzung zeigen sich oftmals weitere Schäden am umgebenden Gewebe. Sind Nerven beschädigt, so kann es zu Sensibilitätsstörungen und auch zu Lähmungserscheinungen kommen. Verschiedene Bänder, Muskeln und Sehnen können gerissen sein. Nicht selten besteht an einem Gelenk ein Schaden. Wenn der Schienbeinkopf gebrochen ist, so ist das Kniegelenk an der Verletzung beteiligt. Entsprechend kann bei einem Knöchelbruch auch das Sprunggelenk verletzt sein.
Anzeichen, die bei einen Schienbeinbruch auftreten können, sind also:
Bei einer Beinverletzung befragt der Arzt den Patienten (Anamnese) zum Verletzungshergang sowie zu anderen gesundheitlichen Gegebenheiten (beispielsweise zu Erkrankungen wie Osteoporose, die zur Knochenbrüchigkeit führen können). Dann führt der Mediziner eine körperliche Untersuchung durch. Bei einem offenen Bruch ist der Austritt von Knochenanteilen aus der Haut zu sehen und deshalb die Diagnose einfach. Ansonsten muss der Untersucher auf Anzeichen der Verletzung achten wie Schmerzen, Blutergüsse, abnorme Form des Unterschenkels, schlechte Beweglichkeit oder ein Knirschgeräusch bei Bewegung (Krepitation). Außerdem wird die Durchblutung und die Funktion der Nerven überprüft.
Als bildgebende Untersuchung genügt meist ein Röntgen, auch um den genauen Bruchverlauf zu sehen. Verletzungen der Umgebung des Knochens müssen aber ebenfalls beurteilt werden. So muss gegebenenfalls bei möglichen Gefäßschäden ein spezielles Ultraschall (Doppler-Sonografie) oder eine Röntgenuntersuchung mit Kontrastmittel (Angiographie) durchgeführt werden. Auch kommt bisweilen eine Computertomografie (CT) oder ein MRT (Magnetresonanz- oder Kernspintomographie) zum Einsatz.
Der Arzt teilt die Schienbeinbrüche nach der genauen Art sowie nach Schweregraden ein. Es gibt je nach der Stelle des Bruches unterschiedliche Klassifikationssysteme. Daraufhin kann die Behandlung geplant werden.
Eine Verletzung am Unterschenkel kann auch lediglich als Weichteil- oder Bänderschädigung ohne Knochenbruch vorhanden sein. Auch kann das Wadenbein zusätzlich zum Schienbein oder aber als einziger Knochen gebrochen sein. Weiterhin müssen andere Formen der Knie- beziehungsweise Sprunggelenksverletzung von der Schienbeinfraktur abgegrenzt werden.
Abgesehen von Verletzungen wie dem Schienbeinbruch können Schmerzen im Unterschenkel durch eine Reihe von anderen Krankheiten hervorgerufen werden. Dazu gehören beispielsweise die Thrombose oder die Arterienverlegung (periphere arterielle Verschlusskrankheit, pAVK).
Da es viele Arten sowie Schwereabstufungen von Schienbeinfrakturen gibt, können verschiedene Maßnahmen zum Behandlungserfolg führen. Teils eignen sich konservative (nicht operative) Methoden, teils muss eine Operation durchgeführt werden. Neben dem Befund selbst ist für die Entscheidung über die Therapiemethode wichtig, welches Alter, welche gesundheitlichen Voraussetzungen und welche Bedürfnisse der Patient mitbringt. Allgemein können Brüche ohne Verschiebungen oftmals durch Ruhigstellung (im Gips) behandelt werden. Hingegen müssen komplizierte und offene Brüche beziehungsweise Brüche mit Weichteilschäden meist operativ therapiert werden. Der Arzt muss auch abwägen, bei welcher Therapie das Verhältnis von Nutzen und Risiko am günstigsten ist. Nicht nur bei der Operation, sondern auch bei der konservativen Ruhigstellung kann es zu Komplikationen und Problemen kommen wie beispielsweise Thrombosen, Muskelabschwächung und Gelenksteife oder nicht zuletzt langdauernde Einschränkungen im täglichen Leben.
Die konservative Therapie kommt hauptsächlich bei geschlossenen und stabilen Frakturen in Frage, deren Bruchstücke noch in der richtigen Position liegen. Manchmal werden auch verschobene Brüche konservativ behandelt, indem sie zunächst wieder eingerichtet werden. Das Bein wird ruhiggestellt. Zur Stabilisierung eignet sich meist ein Gipsverband, der in vielen Fällen bis zum Oberschenkel reicht. In der Anfangszeit kommt ein Liegegips zum Einsatz. Wenn der Unterschenkel wieder einigermaßen stabil ist, kann ein Gehgips angelegt werden. Sobald dies aus ärztlicher Sicht möglich ist, werden krankengymnastische Übungen durchgeführt, um die Bewegungsfähigkeit zu erhalten.
Aufgrund der langen Liegezeit ist das Risiko erhöht, dass sich eine Thrombose (ein Blutgerinnsel) bilden kann. Deshalb werden während der Zeit Injektionen mit Mitteln gegen die Thrombosebildung verabreicht (Thrombosespritze). Auch werden Antibiotika gegeben, um mögliche Infektionen zu unterbinden. Dies geschieht ebenfalls bei der operativen Behandlung.
Vor allem Brüche, deren Knochenfragmente gegeneinander verlagert (disloziert) sind oder die sogar offen sind (der Knochen durchstößt die Haut), werden operativ behandelt. Außerdem kommt die Operation z. B. dann in Frage, wenn der Knochen trotz langer Ruhigstellung nicht richtig zusammenheilt. Die Operation kann in Vollnarkose durchgeführt werden, teils auch in Regionalanästhesie, also in Betäubung eines ganzen Körperteils.
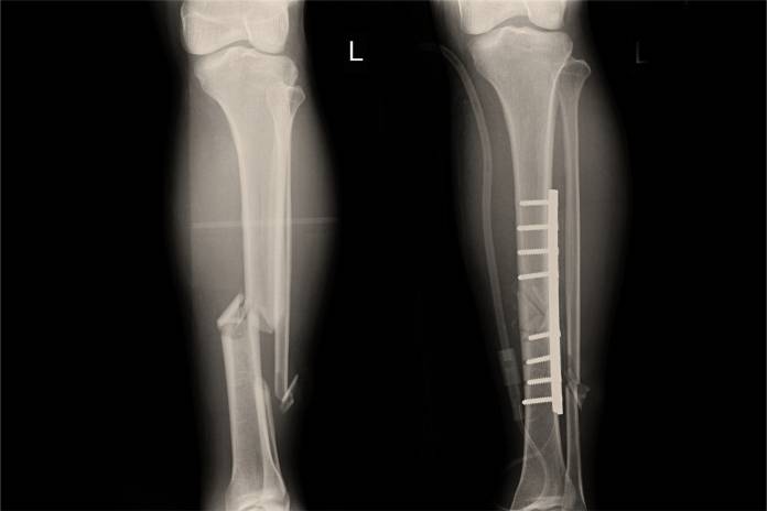
In einer Operation werden die Anteile des gebrochenen Knochens reponiert (wieder in die richtige Lage gebracht). Dann müssen sie mit Metallstrukturen aneinander befestigt werden (Osteosynthese). Diese Osteosynthese-Materialien können je nach der Bruchart Nägel im Markraum (Marknägel), Schrauben und Platten oder ein äußeres Gestell (Fixateur externe) sein. Umgebende Verletzungen wie Bänder-, Sehnen-, Muskelverletzungen werden ebenfalls versorgt sowie gegebenenfalls geschädigte Gefäße und Nerven.
Der Marknagel ist ein häufig genutztes Mittel in der operativen Behandlung von Unterschenkelbrüchen. Quere und schräge Schaftbrüche können gut mit einem Marknagel behandelt werden. Meist vom Schienbeinkopf aus, der zunächst angebohrt wird, wird der Marknagel in den Knochenmarkraum des Knochens eingeführt. Manchmal ist es vorteilhaft, den Marknagel ohne Bohrung einzuführen und ihn stattdessen hineinzuschlagen. Der Marknagel kann bei komplizierten Brüchen (Trümmerfrakturen, Verdrehungsfrakturen, Brüchen im Gelenkbereich) auch mit Querbolzen versehen werden. Dies nennt sich Verriegelungsnagel.
Unter einigen Voraussetzungen ist es besser, den Schienbeinbruch mit Schrauben und Platten zu versorgen. Das kann beispielsweise bei Gelenkbrüchen oder bei nicht für einen Marknagel geeignetem Knochenmarkraum der Fall sein.
Schwere Unterschenkelbrüche mit Schäden an Haut und Weichteilen können oft am besten mit einem Fixateur externe behandelt werden. Der Fixateur externe ist ein Verbindungsgestell, das sich mit einem Anteil außerhalb des Körpers befindet. Wenn der Fixateur externe wieder entfernt wird, schließt sich eine Behandlung entweder mit Einführen von anderen Befestigungsmaterialien an oder mit einer konservativen Stabilisierung (z. B. Gipsbehandlung).
Eine kleinere Operation wird durchgeführt, wenn eine (eigentlich konservative) Zugbehandlung des Unterschenkels stattfinden soll (Extensionsbehandlung, Fersenbein-Extension). Ein Draht beziehungsweise Stift wird durch das Fersenbein gebohrt. Später kann ein Gewicht angehängt werden, das den Knochen auseinanderzieht und verhindert, dass sich Muskeln und Knochen verkürzen.
Die Nachbehandlung nach einer Operation sieht ebenfalls für eine bestimmte Zeit eine Ruhiglagerung vor. Bei stabiler operativer Versorgung, beispielsweise mit Marknagel, können krankengymnastische Übungen schon nach wenigen Tagen durchgeführt werden. Die Belastung kann im Laufe der Zeit verstärkt werden.
Die Metallstücke zur Knochenbefestigung (Osteosynthese) müssen gegebenenfalls nach längerer Zeit wieder entfernt werden. Manchmal können sie auch belassen werden.
Der Heilungsverlauf und die Prognose hängen davon ab, wie schwer der Knochenbruch am Schienbein beziehungsweise Unterschenkel ist sowie von weiteren Gegebenheiten wie der allgemeinen Gesundheit des Patienten. Eine Grundvoraussetzung ist die richtige Therapie der Schienbeinfraktur. Geschlossene Schienbeinbrüche heilen in vielen Fällen gut und stabil ab. Bei einfachen Frakturen ist mit einer Dauer von etwa sechs Wochen zu rechnen, nach denen das Bein wieder gut belastet werden kann. Komplizierte Brüche brauchen vier bis sechs Monate, bis sich wieder ausreichend Stabilität entwickelt hat. Eine Operation ermöglicht frühzeitiger eine Belastung als eine konservative Therapie der Tibiafraktur.
Bei offenen Brüchen kommt erschwerend hinzu, dass die Weichteilverletzung abheilen muss und sich oftmals Infektionen und Wundheilungsstörungen ergeben können. Ist die Behandlung der Schienbeinfraktur nicht ausreichend, so kann sich ein so genanntes Falschgelenk (Pseudarthrose) bilden. Der Unterschenkel ist dann nicht stabil. Auch möglich ist es, dass das Schienbein nicht in der natürlichen Position gerade zusammenwächst. Gegebenenfalls muss eine (weitere) Operation erfolgen, um solche Schäden zu korrigieren.
Besser als jede Behandlung ist die Vorbeugung. Dies gilt vor allem für solche schweren Verletzungen. Die Risiken sollten im Beruf sowie auch im Straßenverkehr und beim Sport gering gehalten werden. Beim Arbeiten sollten entsprechende Sicherheitshinweise beachtet werden.
Wenn eine Verletzung eingetreten ist, die etwa einen Bruch der Unterschenkelknochen beinhalten könnte, sollten Sofortmaßnahmen ergriffen werden. Neben eventuell erforderlichen allgemeinen Erste-Hilfe-Maßnahmen sollten mögliche Blutungen gestoppt werden, beispielsweise ein Druckverband angelegt werden. Ansonsten sollte das Bein geschient und hochgelagert werden. Unnötige Bewegungen sollten vermieden werden. Die verletzte Stelle sollte vorsichtig gekühlt werden.
Während des Heilungsverlaufes sollten Patienten darauf achten, dass die Anordnungen des Arztes und des medizinischen Personals eingehalten werden.
aktualisiert am 20.11.2019