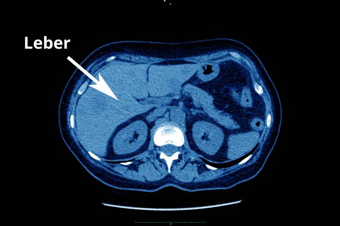
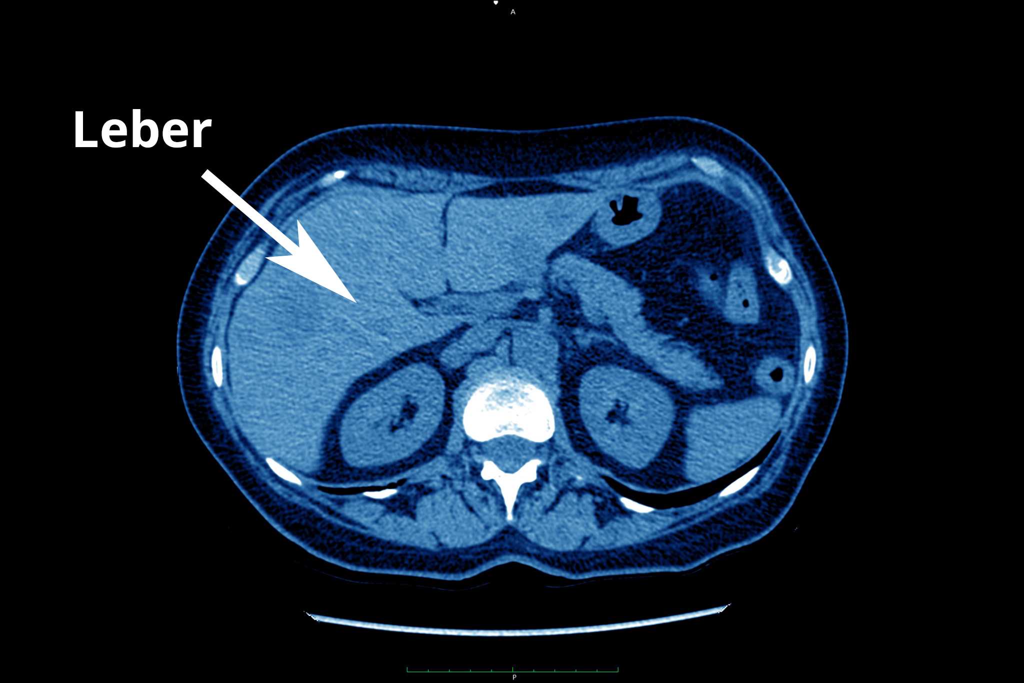
Lebermetastasen sind Absiedlungen (Metastasen), die von bösartigen Tumoren, wie Darmkrebs, gebildet wurden und sich in der Leber ansiedeln. Die Krebszellen dringen über das Blut- oder Lymphsystem in die Leber ein und bilden dort Tumoren.
Leberkrebs ist nicht immer eine primäre Krebserkrankung der Leber. Oft entstehen Lebermetastasen, wenn bösartige Tumorzellen sich von anderen Organen lösen und schließlich in der Leber ansiedeln. In der Medizin wird diese Form von Leberkrebs als sekundärer Leberkrebs bezeichnet. Entwickelt sich ein Leberkrebs direkt aus entarteten Leberzellen, spricht man von primärem Leberkrebs.
Lebermetastasen sind ein Kriterium dafür, dass die Krankheit ein fortgeschrittenes Stadium erreicht hat.
Lebermetastasen machen etwa 45 Prozent aller bösartigen Lebertumoren aus. In neun von zehn Fällen sind Darmkrebserkrankungen (Dickdarm- und Enddarmkrebs, kolorektales Karzinom) die Ursache für Lebermetastasen. Etwa ein Drittel der Patienten weist bereits Lebermetastasen auf, wenn der Primärtumor im Darm diagnostiziert wird. Aber auch Tumoren des Magen-Darm-Traktes wie Magenkrebs und Speiseröhrenkrebs (Ösophaguskarzinom) oder andere bösartige Tumoren wie Bauchspeicheldrüsenkrebs (Pankreaskarzinom) sind betroffen.
In den meisten Fällen sind Darmkrebserkrankungen die häufigste Ursache für Lebermetastasen.
Lebermetastasen machen sich in der Regel erst sehr spät bemerkbar. Falls Symptome auftreten, sind sie im Frühstadium sehr unspezifisch. Das bedeuet, es treten Beschwerden auf, die auch im Zusammenhang mit anderen Erkrankungen auftreten können. Folgende Symptome können auftreten:
Diese Symptome können aber auch durch die zugrunde liegende (primäre) Krebserkrankung verursacht sein.
Oftmals befinden sich Betroffene bereits in einer onkologischen Behandlung, wenn der Arzt Lebermetastasen diagnostiziert. Dies lässt sich damit begründen, dass bei einer vorliegenden Krebserkrankung gezielt danach gesucht wird. Bei vielen bösartigen Tumoren treten die ersten typischen Beschwerden erst in fortgeschrittenen Stadien auf, wenn sich bereits Metastasen gebildet haben. Um Krebs rechtzeitig erkennen und behandeln zu können, sind Früherkennung und Vorsorgeuntersuchungen daher sehr wichtig.
Patienten mit bösartigen Tumoren werden im Rahmen ihrer Therapie regelmäßig untersucht und nachuntersucht, z. B. durch bildgebende Verfahren. Besteht der Verdacht auf das Vorliegen von Lebermetastasen, können gezielte Untersuchungen ratsam sein. Dazu gehören:

Wenn der primäre Tumor, der zu den Lebermetastasen geführt hat, unbekannt ist, werden verschiedene Untersuchungen durchgeführt, um festzustellen, welche Art von Krebs vorliegt. Darmkrebs ist eine häufige Ursache für Metastasen, daher wird eine Darmspiegelung (Koloskopie) durchgeführt, um dies auszuschließen. Eine Gewebeprobe kann auch dazu beitragen, mehr Informationen über die Lebermetastasen zu sammeln.
In seltenen Fällen kann der für die Lebermetastasen verantwortliche Grundtumor nicht gefunden werden. In diesem Fall sprechen die Ärztinnen und Ärzte von einem CUP-Syndrom (cancer of unknown primary), das Krebs mit unbekanntem Primärtumor bedeutet. Bei 2-4 Prozent aller Fälle findet man den Primärtumor nicht. Je nachdem, wie sich die Metastasen ausgebreitet haben, sind Symptome, Verlauf und Therapie dieser Erkrankung unterschiedlich. Das CUP-Syndrom muss nicht zwangsläufig mit Metastasen in der Leber verbunden sein. Das CUP-Syndrom kann neben Lebermetastasen auch Metastasen in anderen Organen wie Lunge, Skelett oder Lymphknoten aufweisen.
Zunächst ist es notwendig, eine angemessene Behandlung des Primärtumors zu gewährleisten. Der allgemeine Gesundheitszustand des Patienten spielt eine wichtige Rolle bei der Behandlung. Die effizienteste Behandlung von Lebermetastasen ist die Operation.

Ein erfahrener Chirurg kann beurteilen, ob sich die Lebermetastasen operativ entfernen lassen. Ob das technisch möglich ist, hängt von der Lage der Lebermetastasen innerhalb der Leber ab. Auch der Zustand der Leber entscheidet darüber, wie viel Lebergewebe entfernt werden kann. Moderne Methoden der Leberchirurgie bieten minimalinvasive Verfahren an. Mit medikamentösen Therapien (Antikörper und Chemotherapien) kann man inzwischen viele Lebermetastasen verkleinern. Sind Lebermetastasen chirurgisch nicht entfernbar, können sie auch verödet werden. Dabei werden sie mit einer Nadel punktiert und z. B. durch Hitze oder Mikrowellen verödet. Dennoch sollte eine Operation immer bevorzugt werden, da in diesen Fällen die Prognose für den Patienten besser ist.
Wenn eine Operation möglich ist, dann ist das die effizienteste Behandlung von Lebermetastasen. Oft wird in Kombination auch eine medikamentöse Therapie durchgeführt.
Wie sich Lebermetastasen entwickeln und welche Prognose, und damit auch Lebenserwartung, zu erwarten ist, hängt sowohl von der zugrunde liegenden Krebserkrankung ab als auch von dem Ausmaß des Befalls in der Leber. Eine günstigere Prognose besteht, wenn es sich um einzelne Metastasen handelt, die vollständig operativ entfernt werden können. Je weiter sich der Tumor in der Leber ausgebreitet hat, desto schlechter sind die Heilungschancen.
Behandlung und Prognose von Lebermetastasen hängen ab von:
Spezifische Maßnahmen zur Vorbeugung von Lebermetastasen sind nicht bekannt. Eine gesunde Lebensweise unterstützt die körpereigenen Abwehrkräfte und trägt zur Senkung des allgemeinen Krebs- und Erkrankungsrisikos bei. Dazu gehören:
aktualisiert am 05.10.2023